-
Yes, we’re blaming the COVID-19 pandemic on yet another problem: Poor Dental Health

Before the pandemic, Dr. Claypoole, DMD and dental hygienist Julia Krenzel were routinely treating their patients every six months– tracking and filling new cavities in stages 1 and 2 of the tooth decay process. Now, a little more than two years later, dental side-effects of the COVID-19 stay-at-home lifestyle have taken over. At home snacking has increased, the urgent need for teeth brushing has decreased, and stress has caused teeth grinding to climb to an all time high. These three common denominators are considered the “tooth decay” starter pack in dentistry.
“I’ve been in this practice for over 20 years and have never seen anything like it!” Dr. Claypoole exclaims. “Many of our patients who have recently come in for appointments are already in stage 3 out of the 5 stages of the tooth decay process.”
The 5 Stages of Tooth Decay
Stage 1: Light Grey Spots
- Sugars and acid erosions starts just below the surface of the enamel. This stage is often painless and hard to detect. This is when plaque and bad bacteria build up and start to soften the enamel of your tooth– preparing the surface for for Stage 2!

Stage 2: Enamel Decay
- The tooth erodes from the inside out. Now, the erosions from the sugars and acids have caused the grey spots to grow weaker, the cavity can now break through the surface of the enamel. At this stage, a filling is needed.

Stage 3: Dentin Decay
This is the stage where you will start to feel some pain. “Dentin” is the layer of your tooth that lies beneath the enamel. A filling should be implemented ASAP at this point, before the cavity and bacteria can reach the pulp.

Stage 4: Pulp Irritation (Pulpitis)
- When the cavity reaches your pulp, it will be VERY painful. The best solution for this stage is a root canal, followed by a dental crown or complete extraction… depending on the situation.

Stage Five: Abscess Formation
- This stage is the worst case scenario. At this point, the infection has reached the tip of the root– defeating the once healthy tooth structure, causing swelling on the surrounding gums and jawline. This stage is so painful that it will need emergency treatment before the infection causes other serious health problems.

When was your last dental check-up? Let’s restore your smile back to how it should be!
-
Gentle Dental at Design That Smile
The most common trigger for dental anxiety resides from fear of pain. A lot of people assume that pain and dentistry go hand in hand which is not always the case! Oftentimes, dental work LOOKS more painful than it actually is. At Design That Smile, Dr. Claypoole, DMD and dental hygienist Julia have over 40+ years of combined experience which means, they’ve had their fair share of anxiety ridden patients over the years. They have also been able to immerse themselves in the science behind “Gentle Dental” as they like to call it! To sum it up, they understand what it feels like to have painful dental work done, and have the tools, knowledge, and the skill to prevent unnecessary pain and anxiety when handling their patients.
Looking to schedule a dental check-up, cleaning/exam? Contact the staff at Design That Smile Today!
-
Is Dental Anxiety Affecting Your Confidence?
Recent surveys from the American Academy of Cosmetic Dentistry found that 71% of women and 58% of men agreed that teeth are the first thing they notice in a potential partner.
When thinking about everyday scenarios such as socializing with friends, going on dates or a first job interview, we want to be as confident in ourselves as we can… Right? The first step to showing off your confidence is your body language, aka your SMILE!
What is Dental Anxiety?
Dental anxiety is fear or stress that is associated with the concept of a dental setting. This means, even the idea of getting a small filling may scare someone away from scheduling their next dental appointment. The problem with that is the dental damage that will occur after that small cavity becomes a large one, eating away at the teeth until it becomes rotten (and stinky)! To be confident, we need to look and feel the part! That means, taking the necessary steps to improve your oral health so you can show off that wonderful, confident, smile!
Dental Anxiety sheds light in many different ways, here are the most common symptoms:
- Crying
- Sweating
- Racing Heart Beat
- Hostility
- Heart Palpitations
- Low Blood Pressure
- Panic Attacks
- Fainting
What Helps with Dental Anxiety?
- Always communicate with your dentist how you are feeling!
- Try breathing exercises.
- Talk out loud about your feelings.
- Find a dentist you are comfortable with.
- Take advantage of your dentist’s coping mechanisms they provide for patients like you.
-
Teeth and Success: How Regular Dental Visits Make Your Life Better
First impressions mean a lot when it comes to dating, job interviews, and meeting new people in general. Visiting your dentist at least twice a year for a cleaning or at the appropriate time when you need dental work done can be the deciding factor in how people treat you on a regular basis.
The appearance of your mouth and smile is known to be heavily correlated with social interactions. The reason being is that studies about having healthy, straight teeth reveal that those features are associated with positive qualities such as high confidence, happiness, and success!
Oftentimes, we realize our dental flaws after someone brought them to our attention. Would you rather be known as the person who’s breath was unbearable? Or the person who was pleasant to speak with? It doesn’t matter whether it’s halitosis (bad breath), a misaligned jaw, crooked, chipped or discolored teeth. They all have an impact on your interactions with other people and can be easy for your dentist to help you fix.
A recent study done by the American Dental Association revealed that 33 percent of young adults aged 18-34 hesitate to smile due to decaying teeth and gum problems. Another 28 percent claim the appearance of their teeth and mouth inhibits their ability to interview for a job. Knowing this, one of our main goals at Design That Smile is to eliminate this “dental anxiety” through providing our patients with a reliable experience that accommodates their every dental need so they can comfortably function socially and professionally!
-
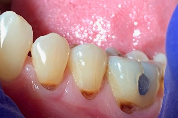
Prevention Now Can Help Prevent Serious Problems Later!
At Design That Smile, our experienced, dedicated dental staff happily clean and examine more than eight patients daily. Within that group, at least half of those patients show early signs of gum (periodontal) disease. After their thorough cleaning and full exam, we always consciously remind them to:
- Schedule a minimum of two 2 dental cleanings a year
- Brush at least two times a day: once at night, once in the evening.
- Floss at least once a day
- Use fluoride mouthwash (unless instructed not to) after each brushing session
By following these four simple steps, you can prevent gum disease, thus preventing the nasty bacterium in your mouth that is known for aiding the risk for heart disease!
-
Good Oral Health May Help Prevent Heart Disease
Studies show that there is a correlation between poor
oral health and heart disease…so, you may want to think twice before skipping or putting off your next scheduled dental check-up and cleaning.
Over the most recent years, there have been many cases that correlate heart disease with poor oral health. As a dental practice, this has become one of the main reasons why our staff at Design That Smile emphasize the need for a deep cleaning of your teeth and gums by our dental hygienist every 6 months, in addition to
your own at-home dental care.
According to Robert H. Shmerling,
MD of Harvard Health Publishing, “Study after study has shown that people who have poor oral health (like gum disease or tooth loss) have higher rates of cardiovascular problems such as heart attack or stroke than people with good oral health.”
If you have a history of heart disease in your family, it is important
to stay on top of your dental hygiene. Who knows… you may be the first in your family to break the cycle!
How Poor Dental Health Affects Your Heart
People with gum disease are two to three times MORE likely to experience some form of cardiac event caused by a bacterial infection that is released into your bloodstream.
The bacterium released is the same kind that is found in fatty plaque that people with gum disease accumulate in their mouth over the years. In more simple terms, people with poor dental hygiene are “micro-dosing” their cardiovascular system every day with atherosclerosis and streptococcus sanguis– the hallmarks of coronary artery disease.
Prevention Now Can Help Prevent Serious Problems Later!
(X-ray pic of patients teeth in beginning stages of periodontal)
At Design That Smile, our experienced, dedicated dental staff happily clean and examine more than eight patients daily. Within that group, at least half of those patients show early signs of gum (periodontal) disease. After their thorough cleaning and full exam, we always consciously remind them to:
- Schedule a minimum of two 2 dental cleanings a year
- Brush at least two times a day: once at night, once in the evening.
- Floss at least once a day
- Use fluoride mouthwash (unless instructed not to) after each brushing session
By following these four simple steps, you can prevent gum disease, thus preventing the nasty bacterium in your mouth that is known for aiding the risk for heart disease!
-
Bad Breath? There are Ways to Improve the Odor.
First, Know What Causes Bad Breath!
Bad breath, aka Halitosis is caused by odor producing bacteria in your mouth that requires dental care to maintain it. This specific bacterium ignites a sulfur-like smell that, let’s face it, doesn’t taste or smell good for anyone!
(Insert playful image of “bad breath”)
Improve Your Dental Hygiene
Bad breath stems from a variety of oral/dental situations that only your dentist can properly analyze such as:
Daily Dental Routines: Do you find yourself cutting corners with your everyday dental routines?
To optimize your chances of defeating that stinky bacterium, make sure you floss at least once a day, brush your teeth two times daily, and rinse with mouthwash to flush away any reminisce of food and bacteria! When food particles are left behind, the colorless film that forms on your teeth eventually hardens, turning into plaque. After months of buildup, this plaque eventually erodes your gums and teeth, leading to the #1 cause of bad breath Halitosis which is usually a package deal with the #1 cause of tooth loss, Periodontal Disease.
Your Diet: What goes in must come out, and what goes in, sometimes gets stuck in your teeth!
The bacteria that cause Halitosis feeds off any leftover food particles in your mouth and it absolutely loves foods high in dairy, proteins, sugar, and citric acid.
The Solution: A balanced diet, lots of water for hydration, mixed with the right dental routines can drastically decrease your chances for bad breath caused by your diet.
Other Causes of Bad Breath: Have You Ever Heard of the Term “Garlic Breath”?
Allyl Methyl Sulfide is the chemical in garlic that, when ingested, slowly breaks down in your body causing bad breath for hours to come, until it has fully processed and is out of your system. So next time you eat your Everything Bagel for breakfast or an Italian Pasta dish at dinner, keep in mind that if you brush and floss your teeth and rinse with mouthwash after you eat, your “bad breath” will not be permanent.
Dry Mouth: Your mouth produces saliva to fight the bacteria causing bad breath. When we go to sleep, our salivary glands tend to produce less saliva, hence the term “morning breath”. A great way to start each day is by drinking some water to give your salivary glands a refreshing morning wakeup call before brushing your teeth!
Xerostomia is a condition in which your salivary glands are not able to produce enough saliva to keep your mouth wet. This can be a main cause of bad breath! If this is something you are concerned about, please ask your dentist ASAP.
Smoking: When you inhale any form of tobacco smoke from cigarettes, cigars, or vapes, you are instantly allowing for any reminisce of that smoke to coat your throat and mouth. Oftentimes, smokers are at a higher risk for Periodontal disease (as mentioned above) which also causes intense bad breath that doesn’t go away unless treated properly.
Untreated Mouth Infections: Any type of untreated infection in your mouth can instantly cause bad breath. It’s common for some people to let that slight pain in their mouth go untreated in hopes that it will heal itself. In most cases, that doesn’t happen and can lead to more serious dental problems such as tooth loss, abscesses, and rotting teeth. The best way to handle this situation is to go visit your dentist for an educated evaluation of what is going on inside your mouth.
Design That Smile is always accepting new patient cases! Our office is located at 2800 E County Line Road, and we are open Mondays 9AM-5PM, Tuesdays 10am-7pm, & Thursdays 8am-5pm.
(Insert CTA)
-
Wisdom Teeth
Your wisdom teeth are the last adult teeth to grow into your mouth. Depending on the size of your mouth, these “last minute teeth” as our staff at Design That Smile like to call them, can cause a number of painful problems for the surrounding area of the mouth. Common problems associated with wisdom teeth include: shifting teeth, impacted teeth, gum sensitivity/swelling, and infection. If you think you are experiencing any of these problems and haven’t gotten your wisdom teeth removed, give us a call and we’ll schedule you for a consultation with Dr. Claypoole ASAP!
-
Teeth Grinding
Since 2019 the uncertainty of the COVID-19 pandemic has caused our stress levels to significantly skyrocket, causing an unconscious coping mechanism– teeth grinding! Our dental office alone has noticed an increased need for our custom “at night mouth guards” to protect our patients from painful teeth grinding wear and tear such as: cracked/chipped teeth, tooth root exposure, tooth decay and more.
How Do I Know if I’m Grinding My Teeth?
We associate teeth grinding with TMJ (Temporomandibular) disorder. Have you been witnessing jaw stiffness? What about intense jaw/temple pain? The most predominant sign of TMJ disorder is if your jaw pops or cracks from unconscious teeth grinding, Even though you may not have tooth pain yet, it’ll start to happen shortly after the symptoms in your jaw start occurring!
(Insert Call To Action button)
-
Are Your Teeth Sensitive?
Your teeth become sensitive when your tooth enamel becomes worn down or your tooth roots become prematurely exposed. Other factors such as cavities, cracked teeth, worn down dental fillings or gum disease are more extreme reasons why your teeth are sensitive.
Teeth sensitivity will not go away on its own until you figure out what is causing it! In order to reverse the super uncomfortable feeling of sensitive teeth, it is recommended to visit your dentist so they can give you a thorough examination to get to the root of the problem (no pun intended!). For a quick response, you could also give us a call at 215.675.6400 or visit our website www.designthatsmile.com to email Dr. Claypoole any questions or concerns you may have.
